
Precisión milimétrica
Sin dolor
Con garantías de por vida
Implante Unitario + Corona Dental:
Incluye:
Planificación digital
Escáner intraoral 3D
Cirugía mínimamente invasiva
Aditamento de implantes
Rehabilitación oral definitiva
Corona dental cerámica
Antes: $1.099.000
Por este mes: $799.000
VALOR DESDE*
Implantes de Boca Completa (desde 4 implantes):
Incluye:
Planificación digital
Escáner intraoral 3D
Cirugía mínimamente invasiva
4 Implantes NeoDent (según tu caso)
Rehabilitación oral definitiva
Protesis dental fija
DIENTES PROVISORIOS EN SOLO 24 HORAS
Antes: $5.625.000
Por este mes: $4.500.000
VALOR DESDE*

Completa tus datos, para comenzar el camino hacia tu nueva sonrisa.
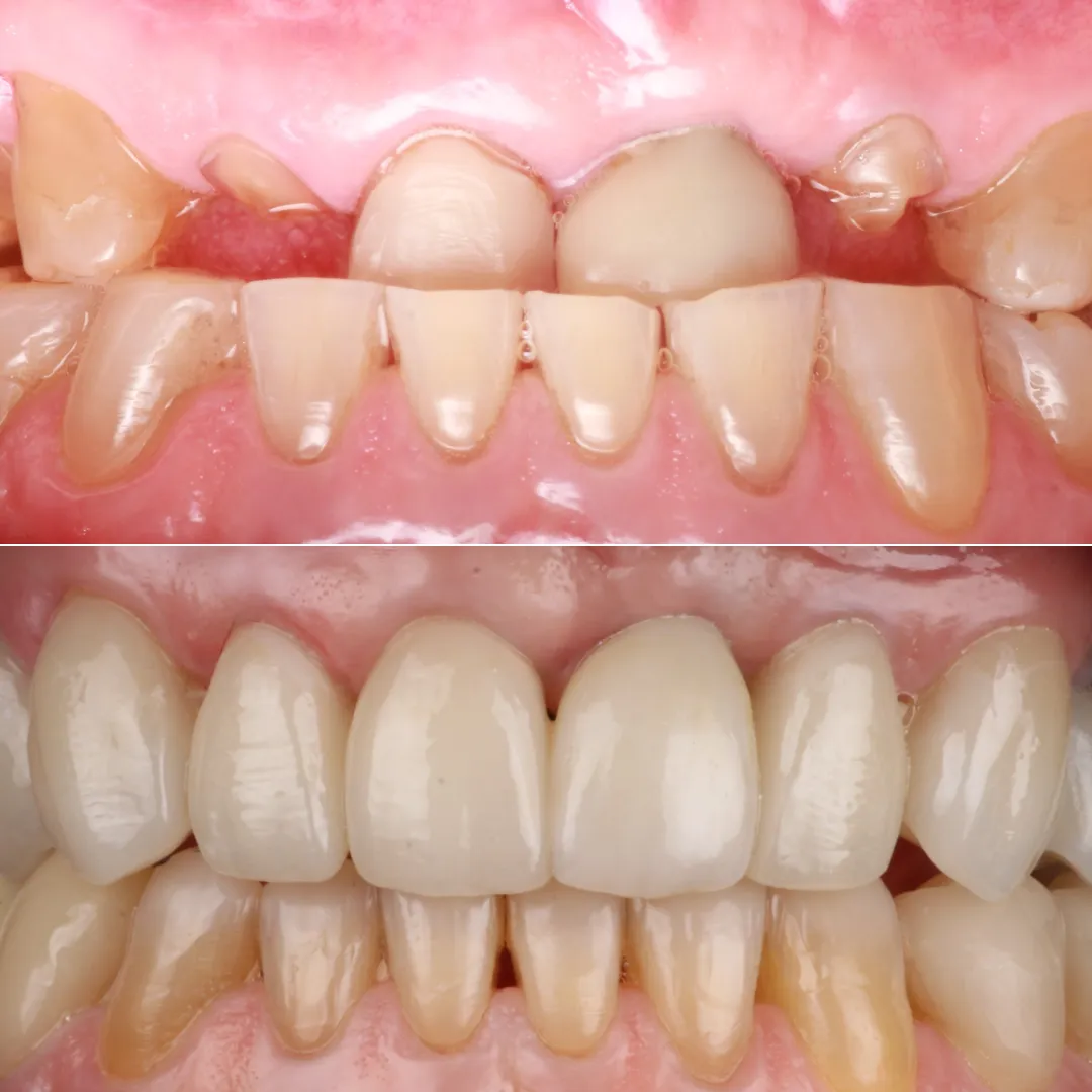
En nuestra Clínica Dental, entendemos la importancia de una sonrisa completa, estética, saludable y funcional, que potencie tu seguridad y autoestima.
Trabajamos con materiales de los más altos estándares de calidad, para asegurar el cumplimiento de tus expectativas.
Somos un equipo liderado por el Dr. Francisco del Rio, Especialista en Implantología Buco Maxilofacial y Rehabilitación Oral con cientos de casos de éxito.
Y estamos comprometidos en ayudarte a lograr una sonrisa que brille con confianza y comodidad.

Obtener una completa evaluación de tu boca, encías y hueso para descubrir exactamente el tratamiento que necesitas.
Conocer todos los detalles y etapas del tratamiento para que puedas planificarte adecuadamente.
Conseguir un presupuesto detallado del plan de tratamiento que necesitas para recuperar tu dentadura al 100%.
Horarios:
Lunes a Sábado: 09:30 a 19:30 horas
Encuéntranos en:
Av. Central 407, Placilla, Valparaíso
Políticas de Privacidad | Términos y Condiciones
© 2026. Todos los Derechos Reservados.
Take a look inside, see how it works and what's included.
